estetica del sorriso a bollate e milano eleganza, armonia, naturalezza

Un bel sorriso non attira l’attenzione su di sé.
La valorizza.

Presso Studio Agliardi accogliamo pazienti da Bollate, Milano e Milano Nord con percorsi personalizzati di estetica del sorriso, studiati per migliorare forma, luce ed equilibrio in modo naturale, raffinato e credibile.

Ogni trattamento nasce da un’analisi attenta del volto, dei denti, delle gengive e delle aspettative del paziente, con l’obiettivo di raggiungere un risultato autentico, armonioso e mai artificiale.

Percorsi di estetica del sorriso per pazienti di Bollate, Milano e Milano Nord

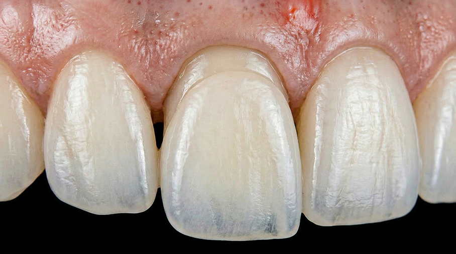
L’estetica del sorriso come espressione di equilibrio

L’estetica del sorriso non riguarda soltanto il colore dei denti o la loro forma.
Riguarda il modo in cui il sorriso si inserisce nel volto, accompagna l’espressione e comunica cura, sicurezza e naturalezza.

Per questo ogni percorso viene studiato in modo individuale, valutando con attenzione proporzioni, simmetria, luminosità e armonia complessiva, per costruire un risultato che non sembri costruito, ma semplicemente tuo.

Quando l’estetica del sorriso può fare la differenza

Un percorso di estetica del sorriso può essere indicato quando desideri migliorare uno o più di questi aspetti:

  • Denti ingialliti o macchiati

  • Piccoli difetti di forma o proporzione

  • Leggere irregolarità dell’allineamento

  • Spazi tra i denti anteriori

  • Usura, scheggiature o imperfezioni visibili

  • Eccessiva esposizione gengivale

  • Un sorriso che senti non più in sintonia con la tua immagine

Anche un cambiamento misurato, quando è progettato con sensibilità estetica, può restituire al sorriso una presenza completamente nuova.